Adolescente leva coice na cabeça e é socorrida pela aeronave da PRF em Colombo
A menina apresentava ferimentos moderados e foi encaminhada ao Hospital Angelina Caron, em Campina Grande do Sul.
A menina apresentava ferimentos moderados e foi encaminhada ao Hospital Angelina Caron, em Campina Grande do Sul.
A pista está parcialmente interditada, com grande quantidade de óleo diesel no asfalto.
Os pesquisadores realizaram um estudo inédito e conseguiram clonar uma araucária de aproximadamente 700 anos.
A vítima sofreu uma queda e teve fratura em membro inferior durante a subida do morro.
O suspeito era considerado o maior traficante do Amapá, no Norte do país, de acordo com informações da Polícia Militar (PMPR).
O suspeito abandonou uma mochila com drogas ao escapar da abordagem. Ao todo, a Polícia Militar encontrou quase 5 kg de cocaína, distribuídas em cerca de 8.400 buchas, e 485 gramas de crack.
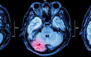
As mortes por Acidente Vascular Cerebral têm aumentado nos últimos anos em todo o país e, no Paraná, esse cenário não é diferente.
A faixa etária de homens com 20 a 29 anos, idade mais produtiva e com maior exposição a riscos, somou 11.972 acidentes de trabalho no período analisado.
Essa etapa da obra foi comemorada com a celebração de uma missa no canteiro de obras, celebrada pelo Padre Reginaldo Manzotti, na manhã desta quinta-feira (1º), Dia do Trabalhador.
Antes da missa, foram plantadas três mudas de ipê-branco em frente à Catedral de Curitiba, na Praça Tiradentes.